Bronchoscopic endobronchial valves
Bronchoscopic endobronchial valves (EBVs) have emerged as a minimally invasive alternative to surgical lung volume reduction for patients with severe emphysema. Emphysema, a progressive lung disease associated with COPD, leads to hyperinflation of the affected lung and reduces respiratory efficiency. EBVs function by limiting airflow to diseased lung segments, causing atelectasis of the emphysematous lung, and allowing healthier lung regions to expand, thereby improving overall pulmonary function....
Dr Henny CL, SpP |
Sab, 11/04/26
Kata Dokter: Langkah Pengobatan ISPA yang Tepat
Pengobatan ISPA bisa kamu lakukan dengan konsumsi obat-obatan yang dapat membantu meringankan gejalanya, seperti obat batuk, ekspektoran, hingga vitamin C. ...
Dr Rezki Tantular, SpP |
Sab, 11/04/26
Hay fever atau rhinitis alergi adalah peradangan yang terjadi di rongga hidung akibat reaksi alergi. Rhinitis alergi dapat dipicu oleh berbagai jenis alergen, contohnya serbuk sari, debu, atau bulu hewan....
Dr N Mayasari S, Sp THT-KL |
Sab, 11/04/26
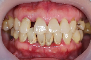
Periodontitis adalah infeksi gusi yang menyerang jaringan lunak dan tulang penyangga gigi. Kondisi ini perlu segera diobati agar tidak menimbulkan kerusakan permanen pada gigi dan jaringan sekitarnya....
Drg Leony Indriati K, SpPros |
Sab, 11/04/26



















