
Memiliki gigi tonggos dapat menurunkan kepercayaan diri seseorang. Gigi depan yang terlihat maju juga dapat mengubah bentuk wajah dan bahkan membuat sulit mengatupkan mulut rapat-rapat. Lantas, apa sih penyebab seseorang bisa punya gigi yang begitu maju? Dan, bisakah kondisi ini diperbaiki? Yuk, cari tahu semua jawabannya dalam ulasan berikut.

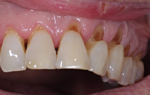
Gigi tonggos dikenal juga dengan istilah overbite atau maloklusi. Kondisi ini terjadi ketika posisi gigi atas lebih maju dibandingkan dengan gigi bawah. Beda jarak yang normal antara deret gigi atas dengan bawah biasanya tidak terlalu kentara, tapi dapat dikatakan tonggos jika berjarak lebih dari 2 mm.
Seseorang dikatakan punya gigi tonggos, bila:

Gigi tonggos sering dikaitkan dengan faktor genetik. Ya. Bentuk rahang dan wajah kita merupakan warisan turunan dari generasi ke generasi. Maka apabila nenek, kakek, atau orangtua Anda ada yang bergigi tonggos, Anda berisiko mengalaminya juga.
Di samping faktor genetik, beberapa kebiasaan hari-hari Anda juga mungkin memicu posisi gigi berubah. Berikut beberapa hal yang dapat mengubah bentuk dan struktur rahang:
Mengisap jempol adalah insting yang umum dilakukan anak kecil karena sudah tidak bisa lagi mengisap puting susu ibu. Meski begitu, mengisap jempol lama-lama dapat menekan gigi depan dan menyebabkan gigi anak jadi lebih maju.
Mengisap dot atau empeng juga bisa jadi salah satu faktor pemicu anak punya gigi tonggos. Bahkan penelitian mengatakan gigi anak yang suka mengisap dot akan maju lebih cepat ketimbang yang tidak. Penelitian tersebut diterbitkan dalam Journal of American Dental Association pada tahun 2016.
Gigi renggang atau berantakan dapat menyebabkan tampilan gigi atas jadi lebih maju. Hal serupa juga bisa terjadi bila gigi bagian atas Anda ada yang ompong. Gigi yang hilang ini lama-lama dapat menggeser gigi lain dan memengaruhi posisi gigi depan.
Begitu pula bila ruang untuk gigi tumbuh tidak mencukupi. Gigi yang tumbuh dapat merusak tulang rahang dan struktur gigi, menyebabkan gigi jadi lebih maju.
Tumor di mulut maupun rahang ternyata juga dapat mengubah posisi gigi dan bentuk rahang Anda. Pertumbuhan jaringan lunak atau tulang yang tidak normal di mulut atau rahang bagian atas dapat menyebabkan gigi bergeser ke depan. Alhasil, gigi Anda terlihat lebih maju.

Meski sekilas tampak seperti masalah estetika saja, gigi tonggos dapat menyebabkan komplikasi. Namun, seberapa parah komplikasinya akan tergantung pada seberapa majunya rahang atau gigi Anda.
Kondisi rahang yang terlalu maju membuat gigi sering menyembul keluar sehingga menyulitkan Anda menutup mulut dengan benar. Tanpa disadari, mulut yang sering menganga dapat mengering karena Anda akan terbiasa untuk bernapas lewat mulut. Bernapas lewat mulut juga dapat meningkatkan risiko masalah pernapasan lainnya.
Di samping itu, memiliki gigi tonggos dapat mengganggu proses mengunyah makanan karena gigi atas yang tak bertemu dengan gigi bawah. Maka, orang yang punya gigi terlalu maju lebih rentan mengalami masalah pencernaan dan malnutrisi.
Anak-anak dengan kondisi ini juga sering kali merasa minder karena tampilan giginya terlalu besar atau tampilan wajahnya tidak simetris.
Pada dasarnya, gigi tonggos tidak perlu diberikan perawatan apa pun jika tidak menimbulkan masalah berarti. Sejumlah artis-artis besar cuek saja bergigi tonggos dan membiarkannya tanpa pengobatan khusus. Salah satu contohnya adalah Freddie Mercury, vokalis band Queen yang sangat fenomenal.
Namun jika Anda merasa terganggu, tidak ada salahnya untuk berkonsultasi ke dokter gigi dan memperbaiki struktur gigi. Selain memperbaiki estetika gigi, perawatan khusus juga bertujuan untuk menghindari komplikasi.
Secara umum, berikut pilihan pengobatan untuk merapikan gigi yang maju.

Pemasangan kawat gigi atau behel merupakan perawatan yang paling sering dianjurkan oleh dokter untuk mengatasi gigi tonggos. Semakin dini perawatan ini dilakukan maka hasilnya akan semakin baik. Namun, pastikan kondisi gusi dan gigi Anda dalam keadaan sehat dan kuat.
Sebelum pasang kawat gigi, Anda harus melakukan beberapa sesi konsultasi dengan dokter terlebih dulu. Hal pertama yang akan dilakukan dokter adalah memeriksaan kondisi mulut Anda. Rontgen gigi dengan sinar X juga dapat dilakukan supaya dokter bisa melihat kondisi mulut Anda secara menyeluruh. Nah, dari hasil pemeriksaan tersebutlah dokter gigi akan menilai apakah Anda memerlukan pemasangan kawat gigi atau tidak.
Mulut Anda mungkin akan merasa tidak nyaman setelah pemasangan kawat gigi. Gesekan antara kawat dan jaringan lunak di mulut juga bisa memicu luka yang menyebabkan sensasi perih. Namun, Anda tak perlu khawatir. Dokter akan meresepkan obat antinyeri untuk meringankan kondisi ini. Supaya rasa nyeri tidak semakin parah, Anda juga dianjurkan untuk mengonsumsi makanan yang lembut dan lunak.
Jangan lupa untuk rajin kontrol ke dokter gigi supaya dokter dapat memantau perkembangan gigi sekaligus mengencangkan kawat gigi Anda.
Durasi pemakaian behel dapat berbeda pada setiap orang, tergantung tingkat kerusakan giginya. Meski begitu, umumnya behel butuhkan dipakai sekitar dua tahunan sebelum dilepas.

Sama seperti behel, invasalign adalah perawatan untuk memperbaiki kelainan susunan gigi. Misalnya karena gigi terlalu rapat, renggang, atau maju alias tonggos. Bila behel terbuat dari kawat, maka invisalign menggunakan plastik bening yang fleksibel dan didesain membentuk susunan gigi. Selain lebih minim efek samping, perawatan ini pun cukup praktis.
Invisalign dapat dilepas-pasang. Anda cukup memasukkan gigi ke dalam invisalign yang rongganya sudah sesuai dengan struktur gigi. Idealnya, alat ini harus digunakan selama 20 sampai 22 jam sehari. Namun, Anda harus melepas alat ini ketika membersihkan gigi, makan dan minum yang bersuhu panas dan mengandung gula. Invisalign juga harus rajin dibersihkan supaya tidak ada noda yang menempel pada alat ini.
Pada awal pemakaian, mulut Anda mungkin akan terasa seperti ada yang mengganjal. Anda mungkin juga akan merasa kesulitan ketika menggerakkan gigi atau berbicara. Seiring waktu rasa tidak nyaman ini tidak akan hilang karena mulut Anda sudah beradaptasi dengan invisalign.

Operasi bisa jadi solusi terbaik untuk memperbaiki kelainan struktur rahang dan gigi yang parah. Dokter dapat memasang sebuah pelat atau sekrup untuk menstabilkan tulang rahang.
Sebelum menjalani prosedur operasi perbaikan gigi dan tulang rahang, pastikan Anda berkonsultasi terlebih dulu ke dokter. Tanyakan semua hal yang ingin diketahui dan sampaikan pula kekhawatiran Anda terkait kondisi ini. Dokter gigi dapat memberikan saran tentang pilihan perawatan terbaik yang sesuai dengan kebutuhan Anda.

Gigi tonggos harus tetap dirawat dengan baik supaya terhindar dari berbagai kerusakan gigi yang serius. Beberapa hal yang perlu Anda lakukan untuk merawat kondisi ini di antaranya:
Sama seperti perawatan gigi pada umumnya, menyikat gigi dua kali sehari adalah hal yang wajib dilakukan setiap hari. Pastikan Anda menyikat gigi dengan teknik yang benar. Tak perlu menggosok keras-keras, cukup ayunkan sikat gigi secara perlahan ke seluruh permukaan gigi.
Gunakan pasta gigi yang mengandung fluoride karena pasta gigi jenis ini efektif membantu melindungi dan menjaga kekuatan enamel gigi.
Menyikat gigi saja tidak cukup untuk membersihkan plak dan sisa makanan di gigi. Anda butuh membersihkan gigi menggunakan benang (dental floss) supaya gigi benar-benar bersih. Benang gigi efektif membersihkan bagian sela-sela gigi dan garis gusi, yang sering tidak terjangkau dengan sikat gigi biasa.
Namun, gesekkan benang di sela-sela gigi dengan perlahan. Gesekan yang terlalu keras dapat melukai gusi dan membuat gusi jadi berdarah.
Lindungi mulut dengan alat khusus setiap kali akan berolahraga atau aktivitas fisik yang ekstrem. Pelindung mulut dapat mencegah kerusakan gigi bila sewaktu-waktu Anda mengalami cedera saat melakukan kegiatan tersebut.
Gunakan pula pelindung mulut bila Anda punya kebiasaan menggeretakkan gigi saat tidur atau stres. Jangan sungkan untuk minta rekomendasi dari dokter terkait produk pelindung mulut yang bagus dan cocok Anda.
Merokok merupakan salah satu faktor penyebab berbagai masalah gigi dan mulut. CDC bahkan mengatakan bahwa perokok aktif dua kali berisiko mengalami periodontitis dibanding mereka yang nonperokok.
Periodontitis adalah infeksi serius yang menyerang gusi. Bila kondisi ini dibiarkan terus-terusan, Anda dapat mengalami kerusakan gigi yang parah.
Itu sebabnya, supaya gigi yang maju terhindar dari berbagai kerusakan gigi, berusahalah untuk berhenti merokok. Tak hanya terhindar dari kerusakan gigi, berhenti merokok juga dapat meningkatkan kesehatan tubuh Anda secara menyeluruh.

Sebenarnya, cukup sulit untuk mencegah kondisi ini karena kebanyakan kasus gigi tonggos merupakan faktor genetik atau bawaan dari lahir.
Meski begitu, deteksi dini ke dokter gigi bisa jadi salah satu pilihan tepat untuk mencegah berbagai masalah gigi dan mulut. Ingat, semakin cepat suatu penyakit terdeteksi, maka semakin besar pula peluang Anda untuk sembuh.
Selain membantu merawat kesehatan gigi, dokter juga dapat mendeteksi ada tidaknya kelainan pada rongga mulut Anda. Bila setelah pemeriksaan dokter menemukan suatu masalah, ia dapat segera menentukan perawatan yang tepat sesuai dengan kondisi Anda.
Idealnya setiap orang dianjurkan rutin cek ke dokter gigi setiap 6 bulan sekali. Namun, orang yang punya riwayat medis tertentu mungkin butuh cek ke dokter gigi lebih sering.
Pilihlah dokter yang nyaman untuk diajak berdiskusi mengenai masalah kesehatan gigi serta mulut Anda. Jadi, jangan ragu untuk rajin periksa ke dokter gigi, ya!