
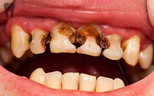
Kerusakan pada gigi anak yang masih memiliki gigi susu sangat mungkin terjadi, apalagi jika orangtua kurang memperhatikan kebersihannya. Kerusakan pada gigi susu anak terjadi saat cairan manis atau gula alami (seperti susu dan jus buah) menempel pada gigi anak untuk waktu yang lama. Bakteri di mulut akan tumbuh subur dengan gula yang menempel dan membuat asam yang menyerang gigi, sehingga membuat gigi berlubang.
Gigi berlubang cukup berisiko pada anak. Meskipun sifatnya masih sementara, bukan berarti gigi berlubang pada gigi susu tidak penting. Gigi diperlukan anak untuk berbicara dan mengunyah, berfungsi pula untuk menopang gigi dewasa nantinya. Jika gigi susu berlubang dibiarkan dan tidak segera ditambal, rasa sakit dan infeksi dapat terjadi.
Masih banyak orangtua yang menganggap kalau gigi susu berlubang tidak perlu ditambal. Padahal, gigi berlubang juga berisiko jika tidak segera ditambal. Gigi susu sama pentingnya dengan gigi permanen. Fungsinya sama, digunakan saat mengunyah, sebagai nilai estetis, dan untuk kemampuan bicara anak.
Perlu orangtua ketahui, jika gigi susu anak sakit dan berlubang, anak pun bisa malas makan. Sedangkan anak sedang membutuhkan asupan gizi untuk berkembang. Bukan tidak mungkin kecukupan gizi anak jadi berkurang jika giginya berlubang dan terasa sakit. Hal ini tentu akan mengganggu seluruh aktivitas tumbuh kenang Si Kecil.
Perlu diingat juga, lubang pada gigi jika tidak ditambal akan terus meluas dan mendalam, sehingga menyebabkan sakit, gusi membengkak, pipi membengkak, demam, dan jika rusaknya sudah parah justru harus dicabut.
Jika gigi susu harus dicabut, itu pertanda lubangnya sudah semakin parah. Akhirnya akan mengganggu pertumbuhan gigi permanen nantinya. Jika di usia 5 tahun giginya sudah banyak yang berlubang dan dicabut, maka akan muncul masalah baru.
Terjadi kekosongan pada ruas gigi akan membuat gigi di sebelahnya akan bergeser. Kemudian gigi permanen yang akan tumbuh malah tidak bisa tumbuh di tempat seharusnya. Inilah yang menyebabkan terjadinya gigi gingsul atau gigi berantakan.
Agar risiko buruk ini tidak terjadi pada Si Kecil, sebaiknya orangtua harus memperhatikan kesehatan gigi anak. Mulailah untuk rutin memeriksakan gigi setiap enam bulan sekali, ajak juga Si Kecil untuk rajin menyikat gigi setelah mengonsumsi makanan atau minuman manis. Jika ada gigi yang berlubang, segera tambal sebelum lubangnya menjadi semakin besar.
Orangtua tentu merasakan bahwa mengajak anak ke dokter gigi bukanlah yang yang mudah, apalagi untuk menambal gigi. Maka itu, rawatlah gigi Si Kecil dengan baik sebelum terlanjur berlubang.
Berikut adalah hal-hal yang dapat dilakukan orangtua untuk mengajarkan pada anak menjaga agar gigi susu anak tidak berlubang:
Bersihkan atau sikat gigi anak sejak gigi tersebut tumbuh.
Hindari konsumsi minuman yang mengandung gula sebelum anak tidur.
Awasi dan ajarkan anak di atas 2 tahun untuk berkumur setelah menyikat gigi.
Kontrolkan ke dokter gigi sejak gigi pertama anak tumbuh.
Perhatikan pola makan makan anak. Ganti makanan atau minuman yang mengandung gula tinggi dengan makanan yang mengandung gula alami, seperti buah-buahan.