
Jika diminta untuk menyebutkan apa perbedaan plak dan karang gigi, mungkin banyak dari kamu yang langsung menyimpulkan bahwa kedua kondisi tersebut adalah sama. Padahal, tidak demikian. Baik plak maupun karang gigi merupakan dua jenis masalah gigi yang berbeda.
Perbedaan Plak dan Karang Gigi
Supaya kamu tidak keliru mengetahui perbedaan plak dan karang gigi, yuk, simak pembahasan lengkapnya berikut ini.
Jika diminta untuk menyebutkan apa perbedaan plak dan karang gigi, mungkin banyak dari kamu yang langsung menyimpulkan bahwa kedua kondisi tersebut adalah sama. Padahal, tidak demikian. Baik plak maupun karang gigi merupakan dua jenis masalah gigi yang berbeda.Plak adalah lapisan tipis dan lengket (disebut biofilm) di gigi yang terdiri dari bakteri, sisa-sisa makanan, dan kotoran. Biasanya plak akan ‘matang’ sempurna 1-2 hari tanpa penyikatan gigi sama sekali. Pada tahap awal, plak berwarna transparan. Tanpa pembersihan yang optimal, plak akan terus menumpuk dan lama-lama dapat berubah warna menjadi putih kekuningan.
Penumpukan plak di gigi berpotensi menyebabkan gigi berlubang. Sedangkan plak yang menempel di gusi dapat menyebabkan gusi bengkak dan radang gusi (gingivitis). Kondisi ini pun dapat menyebabkan bau mulut, karena bakteri di plak menghasilkan senyawa sulfur yang menjadi sumber bau tak sedap.
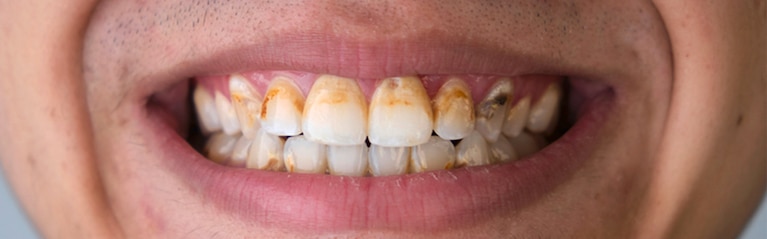
Karang gigi sejatinya adalah plak yang menebal dan mengeras. Biasanya karang gigi terakumulasi di atas garis gusi, terutama di bagian dalam dari gigi depan bawah. Berbeda dari plak, karang gigi umumnya berwarna kecokelatan atau bahkan kehitaman. Pada prinsipnya, semakin gelap warnanya, itu artinya karang yang terbentuk semakin banyak.
Selain itu, bila diraba menggunakan lidah, tekstur karang gigi nyatanya juga lebih keras dan kasar. Karang yang dibiarkan bertambah banyak lambat laun akan membuat tampilan gigi jadi tidak estetis. Tak hanya itu, kondisi ini pun dapat mengikis gigi, sehingga menyebabkan gigi goyang.
Efek jangka panjang lainnya, kondisi ini juga dapat menyebabkan berbagai gangguan gigi yang lebih serius, seperti penyakit periodontitis, gigi tanggal, hingga memicu penyakit jantung dan stroke. Ya, bakteri yang ada di mulut bisa saja masuk ke aliran darah dan menyebabkan kerusakan hingga penyumbatan pada pembuluh darah.
Jadi, kini kamu sudah tahu, kan, perbedaan plak dan karang gigi? Nah, supaya plak dan karang gigi tidak semakin bertumbuh subur di dalam mulut, berikut beberapa hal yang perlu kamu lakukan:
1. Menyikat Gigi
Cara efektif untuk menghilangkan sekaligus mencegah pertumbuhan plak agar tidak semakin banyak adalah dengan rutin menyikat gigi dua kali sehari, di pagi setelah sarapan dan malam sebelum tidur. Gunakan sikat gigi yang berbulu lembut dan mampu menjangkau bagian belakang gigi. Pastikan kamu juga menyikat gigi menggunakan pasta gigi yang tepat seperti Pasta Gigi Pepsodent Siwak. Pasta gigi halal dengan ekstrak siwak ini dikenal sebagai antibakteri alami yang mampu merawat kesehatan dan kekuatan gigi sekaligus membuat napas lebih segar. Pepsodent Siwak merawat kesehatan gigi keluarga kamu semudah menghitung 1,2,3!
2. Flossing Gigi
Membersihkan gigi dengan benang (flossing) juga bisa jadi pilihan efektif untuk mengatasi pertumbuhan plak di dalam mulut. Fungsi benang gigi sendiri adalah untuk membersihkan bagian sela-sela gigi, yang umumnya sulit dijangkau dengan sikat gigi biasa. Lakukan flossing gigi setiap kali kamu selesai menyikat gigi.
3. Scaling ke Dokter Gigi
Khusus untuk cara membersihkan karang gigi, maka hal terbaik yang bisa dilakukan adalah dengan pergi ke dokter gigi. Dokter gigi akan membersihkan karang gigi dengan alat khusus yang disebut scaler ultrasonic. Alat tersebut bekerja menggunakan energi getaran (vibrasi) yang tinggi sehingga efektif menghilangkan endapan plak dan karang yang keras sekalipun. Ujungnya yang runcing juga memungkinkan alat ini membersihkan karang yang ada di bawah garis gusi atau di permukaan akar gigi tanpa melukai jaringan di sekitarnya.