
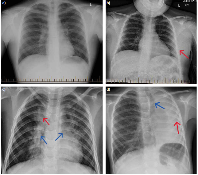
Mycoplasma pneumoniae is a frequent cause of respiratory tract infections in both children and adults, responsible for up to 30% of community-acquired pneumonia cases in children. While many infected individuals remain asymptomatic, common symptoms include fever – which is typically short-lived – and a persistent cough, sometimes lasting weeks. Early identification of M. pneumoniae is crucial for effective management. However, distinguishing it from other viral or bacterial lower respiratory tract infections based on symptoms alone is unreliable due to the nonspecific clinical presentation.
Currently, the most accurate method for diagnosing M. pneumoniae is PCR testing, as traditional culture methods are slow and technically challenging. Paired serology testing is also used for diagnosis. It is important to evaluate locally available diagnostic resources. First-line treatment typically involves macrolide antibiotics, despite lack of robust data for their use. However, widespread use has contributed to increasing macrolide resistance, especially in Asia, prompting consideration of alternatives like fluoroquinolones and tetracyclines. In severe or treatment-resistant cases, additional therapies such as prednisolone, intravenous immunoglobulin or bronchoscopy may be used, although evidence supporting their routine application is limited.
Overall, clinical decisions should be individualised, guided by local transmission patterns, available diagnostics and emerging antibiotic resistance patterns.